
La psoriasi è una malattia cronica della pelle caratterizzata da un decorso ondulatorio. Molto spesso, la psoriasi si manifesta come una lesione cutanea specifica che può essere localizzata su qualsiasi area della pelle.
La psoriasi iniziale non può sempre essere riconosciuta immediatamente. Tuttavia, ciò è possibile se si presta attenzione in tempo ai sintomi caratteristici. Se si consulta tempestivamente un dermatologo, lo sviluppo dell'eruzione cutanea può essere rallentato e fermato. Pertanto, è importante sapere quali segni indicano la presenza di patologia.
Cause della psoriasi. Fase iniziale
Non ci sono fatti attendibili su questo argomento. La psoriasi non è una malattia completamente compresa. Tuttavia, ci sono fattori noti che possono contribuire al suo verificarsi:
- predisposizione genetica (tra i fattori più comuni);
- Disfunzione del sistema immunitario (spesso porta anche alla comparsa della psoriasi);
- problemi endocrini;
- recente infezione da streptococco (mal di gola)
- la presenza di malattie croniche (soprattutto infiammatorie);
- cattive abitudini come la dipendenza da alcol e sigarette;
- stress frequente.
La psoriasi può verificarsi in persone di tutti i sessi ed età. Tuttavia, le persone di età superiore ai 25-30 anni sono più sensibili ad esso.
Sintomi della fase iniziale
Nelle prime fasi della psoriasi, i sintomi sono lievi. Tuttavia, potresti notarli.
Per capire come si sviluppa la psoriasi, dovresti prestare attenzione ai seguenti sintomi tipici:
- Aumento della secchezza e desquamazione della pelle. Una persona avverte fastidio alla pelle nei gomiti, nelle ginocchia, nella parte bassa della schiena e nel cuoio capelluto. Tuttavia, queste aree possono variare da caso a caso.
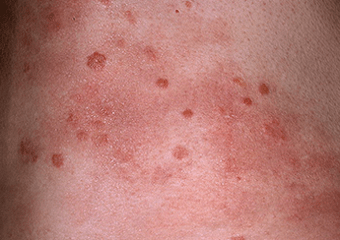
- Presenza di specifiche eruzioni cutanee. Tipiche della psoriasi sono piccole papule rosa-rosse (elementi piatti, leggermente rialzati sopra il livello della pelle) con confini netti che gradualmente si fondono l'uno nell'altro.
- squame sulla superficie dell'eruzione cutanea. Sono di colore argentato o biancastro. Si rimuovono facilmente dalle eruzioni cutanee, ma ciò può portare alla formazione di crepe o alla comparsa di sensazioni soggettive spiacevoli.
In alcuni tipi di psoriasi (“pustolosa”), l'eruzione cutanea può apparire non sotto forma di macchie, ma sotto forma di piccole formazioni convesse con contenuto purulento all'interno. Nella foto della forma iniziale della psoriasi puoi vedere come si manifestano le diverse forme di psoriasi e quali sintomi presentano.
Nella psoriasi delle unghie, l'eruzione cutanea colpisce principalmente la placca. In questo caso i primi segnali sono i seguenti:
- la formazione di piccole depressioni sulle unghie (il sintomo del “ditale”)
- Cambiamenti nella struttura della lamina ungueale – l’unghia diventa più spessa e fragile
- Cambiamento nel colore della lamina ungueale – l’unghia può acquisire una tonalità gialla, sotto l’unghia compaiono macchie rosso-arancio
- ispessimento della pelle sotto l'unghia;
- allentamento del pannello e scrostatura (non sempre);
- piccole linee longitudinali scure sotto la lamina ungueale (sintomo non specifico, derivante dal sanguinamento sotto la lamina ungueale)
- Arrossamento del foro dell'unghia.
Le foto dei sintomi nelle prime fasi della psoriasi ti aiuteranno a orientarti.
I primi sintomi sono piuttosto vaghi e non sono chiaramente evidenti. Inoltre, sono simili ai sintomi di alcune altre malattie dermatologiche, il che può portare a difficoltà nella diagnosi. Per questo motivo è estremamente importante fissare immediatamente un appuntamento in ospedale per una diagnosi più accurata.
Tutti gli stadi della psoriasi
Ci sono tre fasi chiave nello sviluppo della malattia:
- Fase iniziale o progressiva. Sulla pelle si formano numerose piccole papule. Una caratteristica di questo stadio della malattia è la comparsa di eruzioni cutanee in aree di recente lesione cutanea; Puoi vedere come appare la psoriasi nelle fasi iniziali nella foto.
- Stazionario. Le eruzioni cutanee diventano più grandi e iniziano a fondersi insieme, formando grandi placche dai contorni poco chiari. Non compaiono nuovi elementi dell'eruzione cutanea, ma sulla superficie dell'eruzione si formano numerose squame.
- Finale. L'eruzione cutanea diminuirà e scomparirà gradualmente da sola. Potrebbe rimanere una leggera pigmentazione che scompare da sola nel tempo, oppure un'area di colore più chiaro rispetto alla pelle sana circostante.

Spesso sorge la domanda: "La psoriasi prude nelle fasi iniziale e finale?" Nella psoriasi, il prurito è un sintomo insolito; potrebbe non esistere.
Ad ogni riacutizzazione, la malattia progredisce a turno attraverso tutte e tre le fasi. Tuttavia, se il trattamento viene iniziato proprio all’inizio della prima fase, è possibile prevenire la progressione dell’eruzione cutanea.
Per la maggior parte delle persone, i sintomi si manifestano in cicli. Di solito persistono per diverse settimane durante l'epidemia successiva e poi gradualmente si indeboliscono e scompaiono. La forma della psoriasi incipiente determina l'aspetto delle foto e dei sintomi reali
Trattamento degli stadi iniziali della psoriasi
Quando noti i primi segni sospetti, devi contattare un dermatologo.
La psoriasi in stadio iniziale richiede un trattamento farmacologico minimo. Principalmente esterno.
Tipicamente utilizzato:
- Unguenti e creme non ormonali. Costituiscono la base della terapia perché possono essere utilizzati in qualsiasi stadio della malattia, anche durante la remissione. Hanno un effetto delicato e spesso non hanno effetti collaterali. Allevia desquamazione, arrossamenti, sensazioni soggettive e rallentano i processi infiammatori.
- Unguenti e creme ormonali. Nelle fasi iniziali della malattia vengono solitamente utilizzati in caso di infiammazioni gravi o di una forma speciale di psoriasi (essudativa). Questi farmaci possono far fronte rapidamente all'infiammazione nella zona cutanea interessata. Tuttavia, gli unguenti e le creme ormonali non sono adatti per un uso a lungo termine poiché possono causare effetti collaterali se usati per lungo tempo. Le foto illustrano meglio la portata dell'inizio della psoriasi, sia negli adulti che nei bambini.
- Gel e creme idratanti. Lenisce e ammorbidisce la pelle. Può essere usato come cura aggiuntiva.
- Complessi vitaminici. Una misura aggiuntiva per sostenere la forza del corpo e la resistenza alle malattie. La vitamina A viene utilizzata principalmente per la psoriasi perché influenza la divisione cellulare delle cellule della pelle e il processo di desquamazione. Con il progredire della malattia, di solito non vengono prescritti complessi multivitaminici.
- Procedure fisioterapeutiche. Particolarmente efficace nella fase iniziale. Più comunemente vengono prescritte la fototerapia (UVB o PUVA), nonché l'irradiazione ad eccimeri con raggi UV e laser.
Nella maggior parte dei casi, i farmaci vengono prescritti da un medico. Diversi farmaci possono essere usati in combinazione. Se i sintomi sono lievi, è possibile evitare i farmaci per via orale e utilizzare solo preparati non ormonali applicati esternamente.
Prevenzione delle fasi iniziali della psoriasi
Le misure preventive aiutano a ritardare le manifestazioni della malattia e quindi ad aumentare la durata della remissione. Se segui direttamente le regole di prevenzione durante un attacco, queste possono aiutare ad alleviare i sintomi e accelerare il recupero.
Importanti misure preventive sono:
- Eliminazione dello stress. O la sua minimizzazione. Lo stress compromette significativamente il funzionamento del sistema nervoso, il che influisce gravemente sulle condizioni generali del corpo. Per gestire al meglio il tuo stato emotivo, puoi iscriverti alla psicoterapia. Le lezioni possono svolgersi individualmente o in gruppo.
- Dieta. La dieta dovrebbe essere sana, equilibrata e contenere cibi ipoallergenici. La base del menu sono proteine, verdure crude e prodotti a base di latte fermentato. Dovresti evitare il cibo spazzatura come dolci e prodotti da forno. Anche i cibi fritti e affumicati, i cibi piccanti e troppo salati e i cibi in scatola non sono i benvenuti. Su Internet puoi trovare foto della psoriasi all'inizio della malattia e dopo una dieta.
- Bevi molti liquidi. Di solito si consiglia di bere da 1,5 a 2 litri di acqua purificata al giorno. Tuttavia, è importante concentrarsi sui propri sentimenti e non seguire ciecamente le raccomandazioni.
- Complessi vitaminici. Si consiglia di farsi prescrivere le vitamine da un medico - dopo i test.
- Modalità. Mangiare, alzarsi e andare a letto dovrebbero essere programmati. Ciò rende più facile per il corpo mantenere una corretta attività. Si consiglia di alzarsi presto e andare a letto.
- Aria fresca. È importante fare passeggiate all'aria aperta ogni giorno. Riduce lo stress ed è generalmente benefico per il corpo.
- Cura della pelle. Vale la pena usare regolarmente creme emollienti e idratanti. Soprattutto dopo i trattamenti dell'acqua.
- Abbigliamento e scarpe comode. Realizzato con materiali naturali e morbidi. Le scarpe devono adattarsi correttamente e gli indumenti devono essere larghi.
- Consultazioni regolari con un medico. Ed esami. Ciò ti aiuterà a monitorare le condizioni del tuo corpo e ad aumentare la probabilità di prevenire la psoriasi.
Pertanto, le foto dei sintomi della psoriasi cutanea nelle fasi iniziali e successive mostrano chiaramente i fastidi di questa malattia. Pertanto, vale la pena prendersi cura della prevenzione.
È importante ricordare che nella stragrande maggioranza dei casi la psoriasi si manifesta a causa di un forte stress. Pertanto, è innanzitutto importante garantire uno stato d'animo armonioso e una routine quotidiana.



















